- Gösterim: 19713
Zona ya da sık bilinen adıyla Gece Yanığı, Herpes virüs ailesinden Varisella zoster virüsünden (VZV) kaynaklanmaktadır.
VZV'nin bilinen rezervuarı insandır ve bulaşıcılığı diğer virüslere göre oldukça yüksektir.
VZV, insanlarda iki (2) farklı hastalık klinik tablosu oluşturmaktadır: Suçiçeği ve Zona.
Suçiçeği, VZV'nin primer enfeksiyonu olarak tanımlanır. VZV, suçiçeği sonlandıktan sonra sinir sisteminde, kafa ve omurilikte bulunan duysal ganglionlara yerleşmekte ve ömür boyu burada kalmaktadır. VZV virüslerinin bu dönemine latent dönem denilmektedir.
Vücudun hücresel ve humoral savunma sistemi zayıfladığında, latent dönemdeki VZV'ler duysal sinir köklerinden aktive olarak duysal sinirler boyunca deriye tekrar gelmekte ve suçiçeğine benzer zona döküntülerini yapmaktadır.
Bu döküntüler, duysal sinirlerin dağılım alanlarına, yani dermatom alanlarına uymaktadır.
Vücut savunma sistemine bağlı olmakla birlikte, tüm yaşam boyunca zona gelişme riski yüzde 10-20 olarak belirtilmektedir.
Bağışıklık sisteminin etkilendiği koşullar:
-
İleri yaş (immün sistemin yaşlanma nedeniyle giderek zayıflaması)
-
Travma
-
Radyoterapi
-
Bağışıklığın bozulmasına neden olan sebepler: Malignite, HIV enfeksiyonu
-
Bağışıklığı değiştiren (immünomodülatör) tedavilerin alımı: Organ nakli, otoimmün hastalıklar

Zonada yaşla görülme sıklığı artar. 75 yaş sonrasında bu sıklık 1/100'dür. Her iki cinsi eşit etkiler. Kadınlarda daha sık görüldüğü bildirilmiştir. Beyaz ırkta daha sık gözlenmektedir. Zonada ailesel öykü, yani birinci derece aile bireylerinde zona öyküsü önemlidir.
Klasik zona hastalığında başlangıç evresi (prodromal evre) belirtileri:
Zonanın çıkacağı deri alanında cilt hassasiyeti, baş ağrısı, fotofobi (gözlerde ışık duyarlılığı), ağrı-yanma ve zona döküntüleri görülür.
Bu evreden sonra zonanın döküntüleri başlar. Sıklıkla vücudun tek tarafında (sağ ya da sol vücut yarısında) kuşak tarzında, dermatom alanı boyunca döküntüler görülür.
Döküntüler ilk 24 saat içerisinde öbekler oluşturan, kırmızı zeminde deriden kabarmalar (papüller) şeklindedir. Sonra bunlar 48 saat içerisinde su toplamaları (vezikül) şekline dönen, deriden kabarmalar şeklinde görülmeye başlar. Bunların içi şeffaf, bazen de kanamalı olabilmektedir. Bu klinik gelişme yaklaşık bir (1) hafta kadar sürmekte, yani bir hafta içerisinde yeni döküntüler gelişmektedir.
Döküntülerin olduğu deri alanında aşırı hassasiyet mevcuttur. Ağrı hatta kaşıntı olabilir. Döküntüler tek taraflı ancak komşu birkaç dermatom alanını tutabilir. Yüzde 10 oranında başka dermatom alanlarına kan yolu ile yayılabildiği bilinmektedir.
Sıklıkla gövdede (yüzde >50), yüzde trigeminal sinir alanında (yüzde 10-20), bel ve boyunda (yüzde 10-20) görülmektedir.
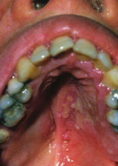
Döküntüler ağız ve genital alanda mukozada da görülebilmektedir.
Bölgesel lenfadenopati (LAP) oluşur. Bu dönem sonrasında yeni vezikül oluşumu durur. Veziküller patlayarak kabuklanmaya dönmekte ve deri iyileşmeye başlamaktadır. Bu süreç 2-4 hafta sürmektedir.
Bu tüm klinik gelişim aşamasında ağrı sıklıkla en belirgin klinik belirtidir. Genellikle döküntüden günler veya haftalar önce başlar. Ağrı, hafiften şiddetliye kadar değişebilmektedir. Ağrı; acı verici, keskin, hatta aniden gelen bıçak saplanır gibi zonklayıcı ve sızlama tarzında olabilir. Ağrıya karıncalanma ve kaşıntı eşlik edebilir.
Döküntülerin olmadığı dönemde ağrı; Miyokard enfarktüsü, renal kolik, kolesistit hatta apandisit ile karışabilmektedir.
Özellikle savunma sistemi sorunlu hastalarda yüzde 10 oranında zona, dermatom alanı dışında tüm deriye yayılabilir.
Herpes Zoster, bir kişiden bir başkasına bulaşmaz, yani zona olarak bulaşmaz. VZV, aktif hastalık geçiren bir bireyden hiç suçiçeği olmamış bir bireye bulaşabilir ancak bu bireyde suçiçeği hastalığına neden olur. Bulaşma sadece deri döküntülerinin varlığında, kabuklanma oluşuncaya kadardır. Virüs, suçiçeğinde olduğu gibi hapşırma, öksürme, ortamda bulunma ile bulaşmaz. Sadece döküntü sıvısına direkt temas yolu ile bulaşması mümkündür.
Zonanın döküntüler olmadan sadece ağrı ile seyreden klinik formu da bulunmaktadır. Buna "Zoster sine herpete" denilmektedir.
Klinik tanı, hastalığın öyküsü ve klinik muayene ile konulmaktadır. Ancak atipik durumlarda; direkt floresan antijen tayini (DFA), lezyonların zemininden kazıma örneklerinin mikroskopisi, VZV DNA’sını tayin etmek için PCR ve viral kültür yapılabilir.
Zonanın kliniğinin iyileşmesi sırasında ve sonrasında bazı komplikasyonlar gelişebilmektedir. Bunlar; nörolojik, deri ve göz komplikasyonları ile nadiren iç organ tutulumudur.
Komplikasyonlar, VZV'nin hangi kafa ya da duysal sinir ganglionundan aktive olduğu ile ilgilidir.
-
Aseptik menenjit: V. kraniyal sinirde aktivasyon olmakta ve baş ağrısı ile meningismus ile seyretmektedir.
-
Zona alanında ikincil bakteriyel enfeksiyonlar ve deride skar gelişimi
-
Yüzde tek taraflı felç (Bell paralizisi): VII. kraniyal sinirde aktivasyon olmakta.
-
Göz tutulumu: II., III. ve V. kraniyal sinirde aktivasyon olmakta. Keratitis, episkleritis, iritis, konjonktivitis, üveitis, retinal nekroz, akut glokom ile seyredebilmektedir.
-
Duyma kaybı: VIII. kraniyal sinirde aktivasyon olmakta.
-
Motor fonksiyonlarda zayıflama: Herhangi bir duysal ganglion tutulumunda olabilmektedir. Kaslarda zayıflık, diyaframda paralizi, nörolojik mesane gibi belirtiler yapmaktadır.
-
Postherpetik nevralji (PHN): Zona kliniği iyileştikten sonra aynı alanda ağrının devam etmesi. Herhangi bir duysal sinir ganglionunda olabilmektedir.
-
Ramsey Hunt Sendromu: VII. kraniyal genikulat ganglion sinirde aktivasyon olmakta ve VZV VIII. sinir boyunca yayılmaktadır. Dış kulak yolunda ağrılı döküntü olmakta, dil ucunda hissizlik gelişmekte ve yüzde felç ortaya çıkmaktadır.
-
Transvers miyelit: Vertebral ganglionlarda olmakta. Duyu kayıpları, motor fonksiyonlarda azalma, idrar ve gaita tutamama gelişebilmektedir.
-
Vaskülopati: V. kraniyal sinirde aktivasyon olmakta. Beyin arterlerinde arterit, şuurun kapanması, uyuklama ve koma gelişebilmektedir.
-
Dissemine (Yaygın) Zona: Normal zonanın çıktığı dermatom alanı dışında vücutta 20'den fazla lezyon var ise bu tanımlama verilmektedir. Yüzde 10 oranında görülmekte ve sıklıkla vücut savunma sistemi zayıf olanlarda gözlenmektedir.

Bu komplikasyonlar içerisinde dermatoloji alanında en sık gözleneni Postherpetik Nevraljidir (PHN). Zonanın en yaygın ve yaşam kalitesini düşürücü komplikasyonudur. Kısaca döküntü bölgesinde kronik nöropatik ağrı oluşmasıdır. Yanıcı, zonklayıcı, dokunulduğunda ağrıyan, bıçak gibi saplanan, şiddetli, keskin, karıncalanma tarzında ağrılardır.
PHN'nin gelişme sıklığı hastanın yaşı ile artmaktadır. 20-40 yaş döneminde yüzde 5 oranında gözlenirken, 80 yaşından sonra sıklığı yüzde 20'ye çıkmaktadır.
Allodini: En sık şikâyettir ve bir uyaran olmaksızın ağrının ortaya çıkması durumudur. PHN hastalarının yüzde 90'ından fazlasında görülür.
Tedavi
Antiviral Tedavi
-
Virüs yayılımının süresini azaltır.
-
Akut ağrının şiddetini ve süresini azaltır.
-
Döküntünün iyileşmesini hızlandırır.
-
PHN üzerinde sınırlı etkisi vardır.
-
İdeal olarak, semptomlar başladıktan sonra 72 saat içinde başlanmalıdır.
Destekleyici Bakım
-
Lezyonlar temiz ve kuru tutulur.
-
Soğuk kompresler yapılabilir.
Ağrı Kontrolü
-
Kortikosteroidler, Herpes Zoster'in akut semptomlarını azaltabilir. PHN üzerinde etkisi yoktur.
VZV Aşısı
-
Canlı VZV ve cansız glikoprotein E içeren aşılar mevcuttur.
-
Herpes zosterin (zonanın) ve herpes zoster ile ilişkili Post-Herpetik Nevraljinin (PHN) önlenmesi için endikedir.
-
50 yaş ve üzerindeki kişilerin bağışıklanması için endikedir.
-
HZ ve PHN için tedavi edici özelliği bulunmamaktadır.
-
Suçiçeği hastalığının önlenmesi amacıyla kullanılmamalıdır.
-
Aşı uygulanan her bireyde koruyuculuk sağlamayabilir.
Bu aşının yapılamayacağı özel durumlar:
-
Aşı etken maddesine karşı aşırı duyarlılık
-
Primer ve edinsel immün yetmezlik durumları
-
İmmünosüpresif tedaviler
-
Aktif, tedavi edilmeyen tüberküloz
-
Gebelik
80 yaşın altında HZ aşısı ile PHN'de belirgin azalma sağlanmaktadır.
Bu aşı 50-59 yaş grubuna yapıldığında zona insidansını yüzde 70 azaltmaktadır. HZ sonrasında bir (1) yıl sonra aşı yapılması önerilmektedir.
Aşı 2-3 hafta sonra etki göstermektedir. Aşı tek doz ya da bir (1) ay ara ile 2 doz olarak üst kol cilt altı yapılmaktadır.
Aşı uygulama yerinde kızarıklık, baş ağrısı ve çok nadiren suçiçeği ya da zona döküntüleri gelişebilmektedir.
Aşı, VZV'nin zayıflatılmış OKA suşundan elde edilmiştir. Sistemik antivirallere çok duyarlıdır. Bu nedenle; antiviraller aşı uygulamadan en az 24 saat önce kesilmeli ve aşı uygulandıktan en az 14 gün sonra başlanmalıdır. Ancak aşılama sonrası suçiçeği ya da zona gelişirse, bu ilaçlar hemen başlanabilir.




