- Gösterim: 22049
Kaposi Sarkomu (KS)
Kaposi sarkomu (KS), "multiple idiopatik hemorajik sarkom" olarak da bilinen, damarların endotel hücrelerinden kaynaklanan malign bir tümördür. Nadir görülen bu tümör, 1980'lerde AIDS ile olan ilişkisi nedeniyle daha sık görülmeye başlanmıştır.

Kaposi sarkomu, klinik ve epidemiyolojik olarak beş alt gruba ayrılır:
1. Klasik Kaposi Sarkomu
Bu formu genellikle el, ayak ve bacakların üst kısımlarında görülür. Lezyonlar zamanla yukarıya (proksimale) doğru yayılma eğilimindedir. Morumsu makül veya papül ve plaklarla başlayan lezyonlar, daha sonra nodüllere dönüşür. Doğu Avrupa ve Akdeniz ülkelerinde, özellikle yaşlı erkeklerde (erkek/kadın oranı 15/1) sık gözlenir. Yaşlı hastalarda hastalığın ilerleyişi daha yavaştır ve genellikle iyi huylu bir klinik seyir gösterir. Bu tipte mukozal tutulum nadirdir.
Tanısı, klinik bulgular ve deri biyopsilerindeki histopatolojik inceleme ile konulur. Tedavide; cerrahi, lazer, elektrocerrahi ve tek lezyonlarda IL interferon alfa-2b (1-3 milyon ünite) etkilidir.
2. Endemik (Afrika Tipi) Kaposi Sarkomu
Bu Kaposi sarkomu formu, Afrika'nın orta bölgelerinde sık görülür. Bazı ülkelerde erkeklerde %50 oranında bildirimi yapılmıştır. Deri ve lenfatik olmak üzere iki alt formu bulunur. Deri formu, erkeklerde bacaklarda ödem, nodül ve plaklarla seyreder. Bu formda lokal radyoterapi oldukça etkilidir; %32 oranında tam, %54 oranında ise kısmi iyileşme sağlanır.
3. İyatrojenik (İmmünosüpresyonla Görülen) Kaposi Sarkomu
Organ nakli hastalarında %0.1-5.3 oranında (etnik yatkınlıklar da rol oynamaktadır) KS görülmektedir. Özellikle %67-80 oranında erkeklerde rastlanır. Organ nakli sırasında HSV-8 virüsünün bulaşmasına bağlı olarak gelişir. Bu klinik formu daha ilerleyicidir ve lenf nodları, mukoza ve iç organlar etkilenebilir. Bazen deri lezyonları hiç görülmeyebilir.
4. Epidemik (AIDS ile Birlikte Olan) Kaposi Sarkomu
AIDS'li hastalarda en sık görülen sarkomdur. Lezyonlar vücutta daha dağınık ve yaygındır, sıklıkla gövde, baş ve boyunda gözlenir. Mukozal ve iç organ tutulumları da görülebilir.
5. Non-epidemik (Gay İlişkili) Kaposi Sarkomu
Human herpes virüs-8 (HHV-8) ile Kaposi sarkomu arasında doğrudan bir ilişki bulunmaktadır. HHV-8'in tükürük yoluyla bulaştığı, kötü hijyen alışkanlıkları ve kalabalık yaşamın bulaşmayı kolaylaştırdığı düşünülmektedir. Bu virüs, tükürük gibi vücut salgılarında bulunur ve cinsel ilişki veya diğer salgılarla temas yoluyla bulaşır. Özellikle Afrika'nın orta kesimlerinde yüksek sıklıkla görülür. Homoseksüel erkeklerde ve AIDS'li kişilerde %40 oranında asemptomatik olarak gözlenmektedir.
İtalya'da yapılan çalışmalarda, silika içeren volkanik arazinin ve kan emici sineklerin olası risk faktörleri olabileceği belirtilmiştir. Hasta yaşı arttıkça HHV-8 birlikteliği de artar. Bildirilen diğer risk faktörleri arasında tahıl çiftçiliği yapmak, sıtma tedavisi için kinin kullanmış olmak ve kırsal bölgelerde yaşamak bulunmaktadır. Kaposi sarkomuna ikincil olarak lenforetiküler tümörlerin eşlik ettiği vakalar da bildirilmiştir.
Kaposi Sarkomunda (KS) Klinik Evreleme
Kaposi sarkomu, klinik seyrine göre dört evreye ayrılır:
-
Evre I: Sadece deride makülonodüler lezyonlar bulunur.
-
Evre II: Deri lezyonlarında infiltrasyonla birlikte nodüller gelişir.
-
Evre III: Deri lezyonları klinik olarak ilerlemiştir.
-
Evre IV: Sarkom iç organ tutulumu ile seyreder.
Diğer Önemli Bilgiler
KS, AIDS dışında, vücutta başka bir kansere, özellikle lenforetiküler tümörlere bağlı olarak da sıkça görülür.
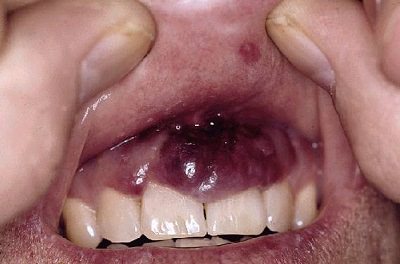
AIDS ile ilişkili KS'ye "human herpesvirus 8 (HHV-8)" neden olur. Kaposi sarkomu, aynı zamanda mukoza tutulumu da gösterebilen bir hastalıktır.

Kaposi Sarkomu (KS) Tedavisi
Kaposi sarkomu, iyi seyirli ve düşük dereceli bir tümör olduğundan, tedavideki temel amaçlar semptomları hafifletmek, hastalığın ilerlemesini önlemek ve hastalığa eşlik eden ödem, uyuşma ve psikolojik stresi azaltmaktır.
Tedavi Yöntemleri
-
Deri Lezyonlarında Lokal Tedavi:
-
Alitretinoin jel (Panretin)
-
Lezyon içine vinblastin enjeksiyonu
-
Radyoterapi, lazer veya kriyoterapi (sıvı nitrojenle dondurma)
-
-
Sistemik Tedaviler:
-
Antiretroviral tedaviler, özellikle iç organ tutulumu olan vakalarda tek başına veya lipozomal doksorubisin gibi diğer kemoterapi ilaçları ile birlikte kullanılır.
-
Sistemik yayılımı olan hastalarda; doksorubisin (10 mg/m²), vinkristin (1.4 mg/m²) ve bleomisin (10 mg/m²) kombinasyonu, iki haftada bir olmak üzere altı kür halinde verilir.
-
İnterferon tedavisi de kullanılmaktadır.
-
-
Radyoterapi:
-
Lokal bir uygulama olarak, tek veya birbirine yakın cilt lezyonlarında 8 Gy tek doz radyoterapi uygulanır.
-
Birbirinden uzak ve çok sayıda lezyonda ise toplam 30 Gy (15 x 2 Gy) bölünmüş dozlarda radyoterapi verilir.
-
-
Cerrahi: Seçilmiş vakalarda cerrahi yöntemler de uygulanabilir.





